Invisalign & Braces Orthodontist in Fort Lauderdale
Braces & Invisalign from $88/mo
5.0 from 1,000+ Google reviews
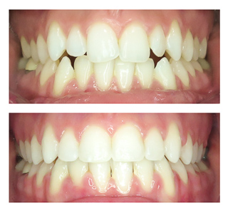
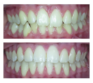
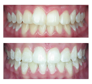
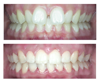
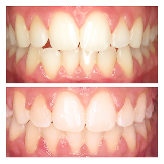
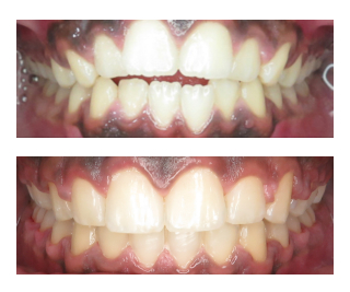
Braces and Invisalign Before and After From Our Patients











Services
What they are:
Clear removable aligners
Who can use them:
Teens and adults
What they can fix:
Most conditions including crowding, spacing, overbite, underbite, etc.
Who they are best for:
People looking to improve their smile in an esthetic and comfortable way
What they are:
Low profile metal braces
Who can use them:
Children, teens, and adults
What they can fix:
Most conditions including crowding, spacing, overbite, underbite, etc.
Who they are best for:
People looking to improve their smile in a predictable way
Clear Braces
What they are:
Low profile clear ceramic braces
Who can use them:
Children, teens, and adults
What they can fix:
Most conditions including crowding, spacing, overbite, underbite, etc.
Who they are best for:
People looking to improve their smile in a predictable and esthetic way
Prices
Braces
$1,900-$4,295*-
Includes:
-
Free Consultation
-
All X-rays and Pictures
-
Retainers
-
No Extra Charges For Anything
-
No Hidden Fees
-
12 Months of Observation After Treatment
-
Satisfaction Guaranteed on All Our Treatments
Invisalign
$2,595-$5,995*-
Includes:
-
Free Consultation
-
All X-rays and Pictures
-
Retainers
-
No Extra Charges For Anything
-
No Hidden Fees
-
12 Months of Observation After Treatment
-
Satisfaction Guaranteed on All Our Treatments
*Actual fee will depend on length of treatment required, which will be determined during your consultation. Monthly payments shown based on lower end of the range financed with CareCredit® at 16.9% for 48 months.
$500 OFF Invisalign
Get $500 OFF your Invisalign treatment!
Free Teeth Whitening
Get a free professional teeth whitening treatment when you start your braces or Invisalign treatment (a $300 value)
Locations
Sun Orthodontist Braces & Invisalign Miami
2260 SW 8th St Ste 202Miami, FL 33135
(786) 765-1766
Located on 8th Street and 22nd Avenue, easily accessible from Miami, Brickell, Miami Beach, South Miami, Coral Gables, Key Biscayne, Kendall and the surrounding areas.
Sun Orthodontist Braces & Invisalign Fort Lauderdale
3201 W Commercial Blvd Ste 124Fort Lauderdale, FL 33309
(786) 765-1916
Located on W Commercial Blvd between I-95 and the Turnpike, easily accessible from Fort Lauderdale, Pompano, Plantation, Sunrise, Tamarac, Coconut Creek and the surrounding areas.
Sun Orthodontist Braces & Invisalign Hialeah
8551 NW 186th StHialeah, FL 33015
(305) 509-6560
Located right off of I-75 on Miami Gardens Drive, easily accessible from Hialeah, Miami Lakes, Pembroke Pines, Miramar, Miami Gardens and the surrounding areas.
Sun Orthodontist Braces & Invisalign North Miami Beach
18110 NE 19th AveNorth Miami Beach, FL 33162
(786) 703-8723
Located on 19th Avenue right off of Miami Gardens Drive, easily accessible from North Miami Beach, Aventura, Miami Beach, Hollywood, Miami Gardens and the surrounding areas.
Our Doctors
Dr. Veronica Padron
- Dental Degree - Meharry Medical College
- Orthodontics Certificate - Jacksonville University
- Board Certified - American Board of Orthodontics
Dr. Nick Kallis
- Dental Degree - Harvard Dental School
- Orthodontics Certificate - Nova Southeastern University
- Board Certified - American Board of Orthodontics
Why Choose Sun Orthodontist Braces & Invisalign?
Honesty and Transparency: We are an honest group of people that put our hearts and souls into helping each and every one of our patients. You can count on us being completely honest and transparent about every aspect of your treatment. Our reputations is our most valued quality and we build it every day by treating our patients like family.
The Best Team: Our goal is to provide you with the best experience you’ve ever had with any healthcare provider. And there is only one way of doing that – working with the best people. We only hire highly qualified and experienced people to join our team. Not only do we hire based on experience (most of our team has 10+ years of experience in the orthodontic industry), but amazing personalities as well. You will find the most welcoming team when you come visit us – people that truly care about you and are here to make sure you receive the highest level of care.
Free Consultations: We offer free, no obligation braces and Invisalign consultations, including digital x-rays. Also, if you have already seen another orthodontist for braces or Invisalign and are searching for an orthodontist near you, we invite you to come in for a complimentary second opinion with our experts.
Affordable Smiles: We offer flexible financing options for braces and Invisalign, including 0% in house financing (without checking your credit score). We also offer financing through third party companies like CareCredit. We also offer free monitoring for patients who are not ready for treatment, free retainers after treatment, family and friends discounts, and complimentary second opinions.
Insurance: We accept most dental insurance and will work to get you the maximum coverage possible.
Convenient Hours: At Sun Orthodontist, we value your time. That’s why we offer evening appointments until 7PM in our office. You have enough to worry about, and we guarantee you will not have to miss work or school to get a beautiful, confident smile.
No Waiting: We see 99% of our patients in less than 5 minutes. Even though you will find a TV, magazines, and refreshments in our reception area, that is not what you came here for! Also, in most cases there is the option of starting treatment the same day! Our time is not more important than yours. And we stand by that.
We Support Our Community: When you choose Sun Orthodontist, you are choosing an office that supports your community. We continually support our local schools, activities, events, and charities.
Top-Notch Specialists: When you choose Sun Orthodontist for yourself or your child, you can put your mind at ease. Our specialists are leaders in their fields and have gone through extensive education at some of the best programs in the country.
Check Out What Our Patients Are Saying





FAQ
Braces cost at our offices ranges from $1,900-$4,295. Braces cost will vary depending on how much treatment you need, which will be determined by our doctor during your consultation.
Invisalign cost at our offices ranges from $2,595-$5,995. Invisalign cost will vary depending on how much treatment you need, which will be determined by our doctor during your consultation.
Yes, we offer both in house flexible payment plans (without checking your credit score), as well as third party financing options.
It depends on how you finance. If you finance with us, a down payment is usually required. If you finance with a third party provider like Carecredit, a down payment is usually not required.
We accept most PPO and HMO insurance plans. If your plan covers orthodontic treatment, that amount will get discounted from your treatment fee.
Our fees are all inclusive, and include everything you need during treatment. All pictures, x-rays, emergency visits, retainers, and anything else you might need is included.
Most treatments take between 12-24 months, with some minor treatments taking less.
Yes, we treat people of all ages.
Most people are candidates for both braces and Invisalign aligners.
Yes we do.
We have 4 locations: Miami, Fort Lauderdale, Hialeah and North Miami Beach.
Office hours are 9-7.
During your first visit, the doctor will evaluate your smile and tell you exactly what you need and how long treatment will take. Then the treatment coordinator will give you the prices and payment plans available. After that, if possible, you can get started with treatment the same day.
Yes. Our records are shared securely between offices, so you can start at one location and continue your treatment at a different location if preferred.