Coral Springs Orthodontist - Braces and Invisalign Specialists
Why Choose Drubi Orthodontics?
Honesty and Transparency: We are an honest group of people that put our hearts and souls into helping each and every one of our patients. You can count on us being completely honest and transparent about every aspect of your treatment. Our reputations is our most valued quality and we build it every day by treating our patients like family.
The Best Team: Our goal is to provide you with the best experience you’ve ever had with any healthcare provider. And there is only one way of doing that – working with the best people. We only hire highly qualified and experienced people to join our team. Not only do we hire based on experience (most of our team has 10+ years of experience in the orthodontic industry), but amazing personalities as well. You will find the most welcoming team when you come visit us – people that truly care about you and are here to make sure you receive the highest level of care.
Free Consultations: At our Coral Springs orthodontist office, we offer free, no obligation braces and Invisalign consultations, including digital x-rays. Also, if you have already seen another orthodontist for braces or Invisalign in the Coral Springs area, we invite you to come in for a complimentary second opinion with our experts.
Affordable Smiles: We offer flexible financing options for braces and Invisalign, including 0% Financing Payment Plans and CareCredit. We also offer free monitoring for patients who are not ready for treatment, free retainers after treatment, family and friends discounts, and complimentary second opinions.
Insurance: We accept most dental insurance and will work to get you the maximum coverage possible.
Convenient Hours: At Drubi Orthodontics, we value your time. That’s why we offer evening appointments until 7PM in our Coral Springs orthodontist office. You have enough to worry about, and we guarantee you will not have to miss work or school to get a beautiful, confident smile.
No Waiting: We see 99% of our patients in less than 5 minutes. Even though you will find a TV, magazines, and refreshments in our reception area, that is not what you came here for! Also, in most cases there is the option of starting treatment the same day! Our time is not more important than yours. And we stand by that.
We Support Our Community: When you choose Drubi Orthodontics, you are choosing an office that supports your community. We continually support our local schools, activities, events, and charities. We also provide free orthodontic and pediatric dental care to children in need in our community.
Top-Notch Specialists: When you choose Drubi Orthodontics for yourself or your child, you can put your mind at ease. Our specialists are leaders in their fields and have gone through extensive education at some of the best programs in the country.
Sample Patient Cases
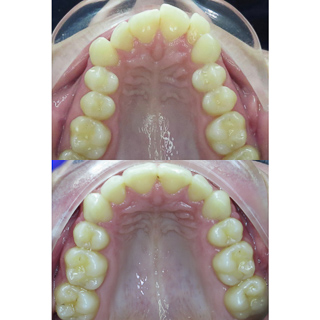
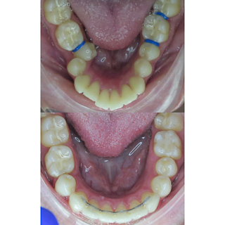
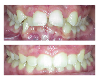
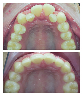
Braces Case 1
This patient presented to our clinic because she was not happy with the crowding of her teeth and how they stuck out when she smiled. This patient chose clear braces as her treatment option, which took 2 years to complete. Our list of problems to correct included:
Narrow smile
V-shaped arch
Protruded teeth
Crowding
This was a very challenging case that required a lot of planning and careful execution. This required us to think and plan the space needed in 3 dimensions since it included expanding the smile, retracting the front teeth, aligning the teeth, and matching the midlines. Notice the difference in the width of the smile and how it fills the space between the corners of the mouth, giving us a smile that is more in harmony with the face. Planning our treatment to accomplish this and not only to align the teeth is what makes us specialists and allows us to consistently provide results beyond ordinary for our patients.






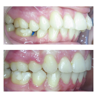
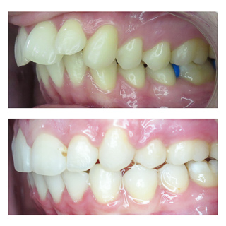
Braces Case 2
This patient came to our clinic because she was interested in fixing her smile. Her main concerns were the crowding of the teeth and their protrusion (sometimes referred to as “buck” teeth”). The goals for this patient included:
Align the teeth
Bring back the teeth so they are not sticking out
This very complex case took a little over 2 years and we were able to achieve all the goals we expected using clear braces. Patient was ecstatic with the results and so were we!




Invisalign Case 1
This patient came in with the complaint that she didn’t like the space between her upper and lower teeth. It was also affecting the function of her teeth, making it hard to bite into food. She chose to go with Invisalign for her treatment, which took 21 months to complete. Complex cases like these are challenging with any treatment modality. Proper treatment planning, execution and experience are extremely important in these kinds of cases to achieve a good result. This patient was amazing and complied with all instructions, which really helped us achieve a beautiful smile for her! Notice the huge change in this smile once the teeth are brought together, with the upper teeth covering the space between the front teeth. Also note the widening of the smile, making it more harmonious with the face.


Invisalign Case 2
This patient came in with the complaint that she didn’t like the space between her upper front teeth. She chose to go with Invisalign for her treatment, which took 14 months to complete. Notice the huge difference in the smiles before and after the gap closure. The most important part about these cases is maintaining the space closed after treatment is completed. For this patient, we used both fixed permanent retainers and clear retainers to be used at night time to avoid the space from re-opening.

